凝汽器胶球清洗装置中凝汽器换热器生锈堵塞清洗污垢分析?
一般采用凝汽器胶球清洗装置的生产厂家,
都会出现像某公司低温多效蒸馏海水淡化蒸发器前7效(蒸发效)主要采用铜铝合金换热管,每效上部三排采用钛管,末效(冷凝效)采用钛管。海水进水首先在末效冷凝器内与换热管束外的蒸汽进行换热,在蒸汽被冷凝的同时,海水被预热;部分被预热的海水作为补给水喷淋到前7效换热管束外,在管内蒸汽被冷凝的同时,管外部分海水被蒸发,前一效蒸发产生的蒸汽作为后一效的热源。
低温多效蒸馏海水淡化技术是指在真空情况下,盐水的最高蒸发温度低于70℃的淡化技术,其特征是将一系列的水平管喷淋降膜蒸发器串联起来,用蒸汽输入通过多次的蒸发和冷凝,后面一效的蒸发温度均低于前面一效,从而得到多倍于蒸汽量的蒸馏水的淡化过程。
凝汽器胶球清洗装置中经过多年的运行,该海水淡化装置一直未清洗过,产量逐渐下降了10%左右。检修时发现:
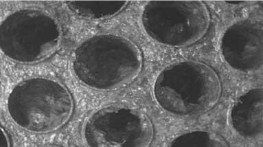
1)蒸发器前7效(尤其第1效)上部铜管表面附着有一层均匀的水垢沉积物,见图1,厚度约0.5mm,底部铜管表面附着一层较厚的硬质水垢沉积物,部分区域形成水垢挂体并塞满换热管缝隙,不锈钢内壁附着一层水垢挂体,部分区域厚度达到10mm,垢样分析主要成分为硫酸钙,并有部分碳酸钙;
2)末效钛管内有薄薄的一层水垢沉积物,并有黏泥杂质形成的沉积物,以及藻类、贝类等杂物,垢样分析主要成分为碳酸钙,见图2。
结垢原因是:海水脱硫排水口与海水淡化取水口距离太近,导致海水淡化进水中含有大量的硫酸根;40℃时CaSO4在水中的溶解度最大,预热后的海水喷淋到前7效换热管外壁后,随着海水温度升高及蒸发,硫酸钙浓度逐渐增大,当其浓度超过溶解度之后会生成沉淀析出,并沉积在传热表面上,从而形成致密坚硬的硫酸钙垢。在前7效垢样中加入盐酸,有少量无味气体放出,并且该垢样并不能完全溶解,在剩余的残渣中加入硫化钡液体,则残渣几乎全部溶解,证明该垢样成分主要硫酸钙,并有部分碳酸钙。前7效垢样主要成分见图3。由于结垢物质及换热管材质的不同,采用前7效与末效冷凝器分开的清洗方式,其中前7效采用酸洗+中性清洗(螯合剂清洗)方式;末效采用酸洗方式。
凝汽器胶球清洗装置中前7效清洗时,首先采用酸洗,以除去硫酸钙以外的大部分水垢,考虑到铜铝合金管壁较薄,且垢层厚薄不均匀,需要选择腐蚀性小,又有较好的清洗效果的酸性清洗剂,所以酸洗清洗剂选择氨基磺酸。其后采用中性清洗剂进行螯合清洗,该清洗剂主要包含螯合剂、表面活性剂、聚合物,对垢表面润湿、渗透,改变垢晶体结构,使垢膨化疏松,便于通过水流携带出系统。前7效采用蒸发器自身的循环系统进行清洗。首先在循环清洗液中加入铜缓蚀剂,由于铜缓蚀剂呈碱性,所以循环清洗液呈碱性。随后不断地向系统中注入淡化水,以增大循环水量,由于淡化水呈弱酸性,所以循环清洗液pH值逐渐降低,直至接近淡化水的pH值(约6左右)。此时阶段循环清洗液中的总硬较平稳,在200mg/L左右。第230min时,开始向系统中注入710清洗剂,由于710清洗剂是一种复合型有机酸类清洗剂,清洗机理主要是通过与无机盐、金属氧化物等形成螯合物。故在加入710后,其首先与清洗液中的钙离子反应,使清洗液中的钙离子逐渐降低,直至为零。第320min时,开始向系统中注入氨基磺酸,pH值迅速下降,第375min时,降低至1.5,停止注酸。随着氨基磺酸的注入,碳酸钙垢开始分解,清洗液中的Ca2+浓度迅速增大,由于碳酸钙垢分解消耗了大量的酸,pH值也迅速上升。第400min时,清洗液中的总硬达到1150mg/L,pH值上升至4.5,并再次向系统中注入氨基磺酸。随着酸的注入,pH值再次迅速下降,总硬继续上升。第415min时,pH值下降至1.5,停止注酸。第435min时,总硬1450mg/L,pH值略上升至1.7,此后,总硬、pH值相对平稳,说明清洗终点到达,停止酸洗。酸洗前后的结垢情况,见图4、图5。
酸洗前换热管上的垢比较密实、坚硬,且垢层较厚,而酸洗后换热管上的垢大部分垢已去除,剩余的垢比较疏松,并且蒸发器底板上有大量黄白色晶体,说明碳酸钙垢已经除去,剩余的垢主要为硫酸钙垢,并有部分硫酸钙垢因碳酸钙垢的溶解及水流冲刷而掉落到底板上。所以需对蒸发器进一步清洗,以去除硫酸钙垢。此次选用硫酸钙清洗剂是一种中性的螯合物,对金属不会造成化学腐蚀。按照酸洗阶段的方式进行循环清洗,在清洗过程中不断加入清洗剂,清洗终点为两次清洗剂的质量分数分析结果差不大于0.2%。
清洗后,前7效蒸发器换热管外表面与末效冷凝器换热管内表面都清洁、光滑,无明显附着垢,无点蚀及二次浮锈,并有致密氧化膜,见图6~图7。

末效的清洗先用高压水枪冲洗黏泥以及藻类、贝类等杂物,再采用酸洗,以除去碳酸钙垢,清洗剂选用盐酸。末效冷凝器将蒸发器末效进出口1m弯头拆掉,在法兰处增加盲板,在盲板上连接DN100管道,管道与酸洗车进出口进行连接,构成循环酸洗回路,见图8。
首先加入缓蚀剂,调整清洗液pH值至1.5左右,在酸洗过程中,为了防止过洗现象,要求不断注入盐酸,保持pH值在1~2之间。在开始阶段,由于盐酸与碳酸钙剧烈反应,消耗大量的盐酸,15min后,pH值升值2.6左右,随着盐酸的不断注入,pH值逐渐呈下降趋势。第345min时,pH值下降至最低点1.35,停止注入盐酸,随后pH值略为上升,最后稳定在1.5左右,说明酸洗终点达到。在整个酸洗过程中,总硬不断上升,最终达到850mg/L左右,并且长时间保持稳定,时间正好与pH值终点吻合,从另一方面说明酸洗终点达到。
末效换热管清洗前后效果见图9、图10。

在酸洗过程中,挂入与清洗系统中材质相同的腐蚀监测试片,采用失重法测定平均腐蚀率及总腐蚀量。酸洗后,各效挂片平均腐蚀率及总腐蚀量结果如图11。
可以看出,各效挂片平均腐蚀速率都小于1g/m2·h,总腐蚀量都小于10g/m2,都优于《工业设备化学清洗质量标准》(HG/T2387-2007)及《腐蚀试样的制备、清洗和评定标准》要求。
海水淡化蒸发器酸洗后,各项参数均在设计标准范围内,单套海水淡化产量提高了10%。